
Reconquiste a confiança no sorriso, fortaleça sua autoestima e desfrute da vida com a certeza de que você merece o melhor.
Preencha para falar pelo WhatsApp imediatamente
R. Ramiro Barcelos, 550, sala 702 – Clínica Lato | Centro, Bento Gonçalves/RS

Recupere a confiança no seu sorriso com implantes dentários. Uma solução moderna e duradoura para substituir dentes perdidos/ou que precisam ser extraído, trazendo estética natural e conforto ao sorrir, mastigar e falar.
A solução definitiva para quem perdeu todos os dentes ou ainda usa prótese removível. A segurança, conforto e a aparência de dentes naturais para sorrir e viver com liberdade.
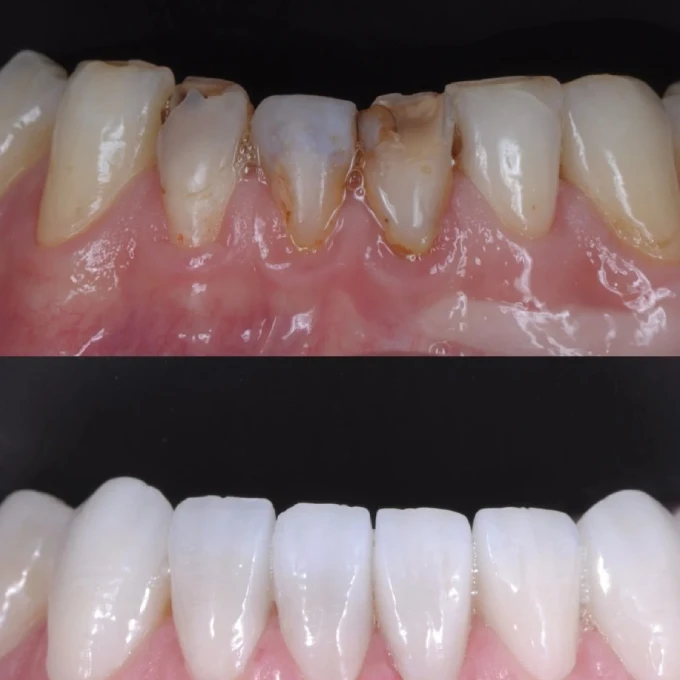
Um tratamento rápido, seguro e eficaz que deixa os dentes mais brancos e luminosos, trazendo leveza e confiança ao sorrir.
Corrija o alinhamento dos dentes e conquiste um sorriso harmônico com soluções ortodônticas personalizadas. Desde o aparelho fixo tradicional até opções modernas, como os alinhadores invisíveis: removíveis, transparentes e praticamente imperceptíveis.
Transforme seu sorriso com facetas dentárias. Indicadas para corrigir forma, cor, tamanho dos dentes e até cobrir manchas, elas oferecem um resultado natural e harmônico, devolvendo estética e confiança ao seu sorriso.
Procedimentos cirúrgicos seguros e precisos para a extração de dentes do siso e outras necessidades. Realizados com cuidado para minimizar desconfortos e garantir rápida recuperação.
Aqui, a limpeza dentária vai muito além do básico. Com a profilaxia, você previne cáries, tártaro e gengivite enquanto recebe um cuidado completo e delicado, que garante saúde bucal e hálito fresco. E para tornar esse momento ainda mais especial, transformamos a consulta em uma experiência de autocuidado: você relaxa na cadeira odontológica com função de massagem, escolhendo sua música ou programa favorito na TV.
Se você aperta/range os dentes, saiba que existe solução. O tratamento para bruxismo protege o seu dente, alivia e ainda contribui para noites de sono mais tranquilas e reparadoras.
Tratamento seguro para salvar dentes comprometidos por cáries profundas ou infecções. Elimina a dor, preserva a estrutura do dente e devolve a funcionalidade.
Recupere a forma, a função e a estética de dentes danificados por cáries ou fraturas. As restaurações modernas oferecem resultado natural e resistência.
Com a Clínica da Dra. Cristiane Tonus, você vai ter:
Somos uma Equipe completa de dentistas especializados. Cuidamos de cada necessidade do seu sorriso, sem que você precise procurar em outros lugares.
Parceria com centros de imagem que agiliza exames e diagnósticos, permitindo iniciar seu tratamento com rapidez e precisão.
A Dra. Cristiane e sua equipe são referências na região, combinando excelência técnica, sensibilidade e uma experiência de cuidado que vai além do consultório.
Equipamentos modernos e técnicas atualizadas garantem tratamentos mais eficazes, confortáveis e com resultados visíveis.
Ambiente confortável, horários bem estruturados e protocolos rigorosos para proporcionar segurança e tranquilidade em cada etapa.
Desde os cuidados básicos até reabilitações completas: devolvemos saúde, autoestima e a confiança para você sorrir sem medo.




Daniel Wagner2025-08-15Trustindex verifica se a fonte original da avaliação é Google. Excelente atendimento, profissional muito atenciosa e cuidadosa. Recomendo! Gabriela Ribeiro2025-08-14Trustindex verifica se a fonte original da avaliação é Google. Fui atendida pela Dra Cristiane e só tenho elogios! Muito querida, atenciosa e cuidadosa em cada detalhe. Uma excelente profissional, que transmite segurança e confiança no tratamento, indico de olhos fechados 🥰 Sabrina Santos2025-01-21Trustindex verifica se a fonte original da avaliação é Google. Excelente profissional, competente e cuidadosa. Pode confiar, seu sorriso estará em boas mãos! Fernanda Cigolini2025-01-18Trustindex verifica se a fonte original da avaliação é Google. Uma excelente profissional. A Dra Cristiane é muito atenciosa e cuidadosa, além de sanar todas as dúvidas com muita atenção. Eu super indico o trabalho dela! Nutri Milena Artifon - Emagrecimento e Menopausa2025-01-16Trustindex verifica se a fonte original da avaliação é Google. Desde o primeiro atendimento, percebi seu profissionalismo, competência e atenção a cada detalhe. Ela demonstra um cuidado genuíno, tornando cada consulta uma experiência tranquila e acolhedora. Sua dedicação em oferecer o melhor tratamento e seu compromisso com o bem-estar do paciente são realmente diferenciados. Recomendo de olhos fechados! Camila Tapparelo2025-01-15Trustindex verifica se a fonte original da avaliação é Google. Profissional extremamente competente e cuidadosa. Local muito acolher e aconchegante, amei demais a experiência. ana carolina lemos lo2025-01-15Trustindex verifica se a fonte original da avaliação é Google. uma profissional muito competente, trabalho excepcional, supor indico e nao troco por nada! Gustavo Zanini2025-01-15Trustindex verifica se a fonte original da avaliação é Google. Super atenciosa, explica tudo com calma e transmite muita segurança. Além disso, o atendimento é sempre pontual e o consultório é impecável. Recomendo! Tiago Tonus2025-01-15Trustindex verifica se a fonte original da avaliação é Google. Atendimento de excelente qualidade, profissional muito capacitada. kamila czys2025-01-15Trustindex verifica se a fonte original da avaliação é Google. A Cris, além de super querida e simpática é uma ótima profissional, trata com muito carinho e cuidado qualquer demanda. Disposta a resolver os problemas, sanando todas as dúvidas, preocupada com os resultados. Ela entrega muito profissionalismo e cuidado.

A Clínica Lato nasceu do sonho da Dra. Cristiane Tonus de criar um espaço diferenciado em Odontologia & Saúde na região, oferecendo um cuidado completo, unindo profissionais de diferentes especialidades em um mesmo lugar, para cuidar da saúde, estética e bem-estar de forma ampla.
Com uma estrutura moderna, no coração da cidade, com tecnologia de ponta e uma equipe comprometida, a Clínica Lato transforma cada visita em uma experiência acolhedora e única.
A odontologia que a Dra. Cristiane pratica, é baseada em evidências e guiada pela individualidade de cada caso. Isso significa oferecer apenas o que é realmente necessário, com ética, precisão e foco em resultados duradouros.
Mais do que transformar sorrisos, meu compromisso é cuidar de pessoas, devolvendo bem estar, autoestima e liberdade para sorrir novamente. Vamos agendar sua experiência Lato, aqui, comigo?





R. Ramiro Barcelos, 550 - Sala 702 - Centro, Bento Gonçalves - RS
A satisfação de nossos pacientes é a prova do nosso compromisso com a qualidade e eficácia.
Utilizamos apenas equipamentos modernos e de alta qualidade. Investimos nisso para oferecer o melhor e mais prazeroso tratamento para nossos pacientes.
Dra. Cristiane Tonus - 2025. Todos os direitos reservados.
Política de Privacidade
Termos de Uso